|
Six Month Braces
Free offers
Free Consultation
All Xrays
All Diagnostic Models
White Braces for the Six Month Braces Treatment
Free smoothing "dental manicuring" of teeth edges at end of treatment
Free Clear (Invisalign type) Retainers
Free Bleaching after braces are removed
**********************************
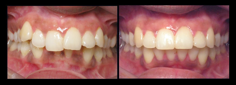
The Powerprox Six Month Braces® Technique is a fast, affordable way to give you the smile you always wanted in just six months – that’s right, six months! The Powerprox Six Month Braces® Technique will move your front teeth to their most beautiful position giving you a great smile. Whether your teeth are crowded together, overlapped, or have spaces between them, the Powerprox Six Month Braces® Technique will give you the smile you always wanted in just six months.
 Barbara G. ... 84 years young!
The Powerprox Six Month Braces® Technique- Frequently Asked Questions How can it be done in 6 months? The Powerprox Six Month Braces® Technique utilizes the latest technology combined with time tested orthodontic techniques to move your teeth quickly and safely. Does The Powerprox Six Month Braces® Technique use high forces to move the teeth? No. Actually the Powerprox Six Month Braces® Technique is a low force technique. Many people think we just “tighten” the braces like crazy to get the teeth moving. This would actually slow down tooth movement. To reiterate,the Powerprox Six Month Braces® Technique is a low force technique.
Does the Powerprox Six Month Braces® Technique damage the teeth, roots, or gums in any way? No, the causes for the above complications are individual biology and high forces over a long period of time.The Powerprox Six Month Braces® Technique uses low force with a short treatment duration to safely move the teeth. Are Powerprox Six Month Braces® more painful than regular braces? No, the Powerprox Six Month Braces® Technique uses low forces to move the teeth not high forces that can cause pain. Does the Powerprox Six Month Braces® Technique cost more than regular braces? No, actually since there are fewer visits, the Powerprox Six Month Braces® Technique is less expensive than regular braces.
Do I need to wear braces on all my teeth? Yes, we have both small metal and clear braces. The clear braces blend into your teeth making them nearly invisible. Do you ever extract teeth with the Powerprox Six Month Braces® Technique? We very rarely extract teeth using the Powerprox Six Month Braces® Technique.
 |
How often do I have to come in? Usually every 4 weeks for a 15 to 30 minute appointment, and a little longer for the appointment when we put the braces on. Usually treatment is completed in 10 visits or less. Also, patients of this office are seen on time, so you will not be waiting long to be seated for your appointment. Do I have to wear a retainer? Yes, as with any orthodontic procedure a retainer is necessary. If you do not want to wear a retainer very long you can have your teeth splinted together. Insurance/Payment Plans There are great variations in insurance plans. We will be happy to check into your insurance for you. We have many convenient payment options available to make the Powerprox Six Month Braces® Technique affordable to you
Call us today for a free consultation!

|